鼻息肉的饮食lf
发布时间:2016-11-04 文章来源:成都好的耳鼻喉医院
大家知道什么是鼻息肉吗?鼻息肉有哪些症状呢?医学上解释,鼻息肉指的就是赘生于鼻腔顶壁、表面光滑、触之柔软而不痛、淡红色如荔枝肉状的半通明肿物,常伴有鼻塞、流脓涕、嗅觉障碍等症状。对于鼻息肉的治疗方法,医生提示,食疗也能起到还是程度的控制和缓解效果。具体有哪些食疗和饮食禁忌呢?

图:鼻息肉
治疗鼻息肉的食疗方法

饮食lf方法简单,副作用小,健康养生。除了要多吃上述表格中的适宜吃的食物之外,还需要注意应少吃油腻肥厚、生冷腥荤,忌烟忌酒,忌食辛辣刺激性食物,少吃芥末、大蒜、大葱等调味品,多吃蔬菜、水果、动物肝脏等。
鼻息肉有什么症状
鼻息肉的常见症状很多,但是主要症状包括:双侧堵塞性鼻塞,并逐渐加重为持续性,白天症状表现较轻,夜晚较重;夜间睡眠时常伴有打鼾,说话出现闭塞性鼻音;多有嗅觉减退或消失的症状;鼻涕多,常为粘液性或流脓性,间或清涕,可伴有喷嚏;分泌物过多阻塞咽鼓管口,容易并发耳部症状,如耳鸣、耳闷和听力减退等;内镜下可见表面光滑、柔软如荔枝肉状半透明肿物。

图:鼻息肉
引起鼻息肉的原因
其实,到目前为止,引起鼻息肉的原因仍尚未明确,一般情况下会优先考虑鼻炎,即鼻腔粘膜和粘膜下的炎症性疾病,鼻炎的粘膜充血水肿往往会并发鼻息肉的症状,患者常表现为鼻塞、脓涕等症状。除此之外,慢性鼻炎及过敏性鼻炎也是诱发鼻息肉的主要原因。
鼻息肉有什么危害
鼻息肉发病初期的症状表现可能并不是多么严重,容易给人产生小毛病的误区,但是,如果一直放任下去不管不顾,长期以往,没有得到及时治疗的鼻息肉疾病将造成比较为严重的后果。鼻息肉体积不断增大,挤压破坏鼻窦壁,可能会并发鼻窦炎,甚至会造成大脑供氧不足,影响记忆力。鼻息肉的持续恶化也会导致咽喉炎、中耳炎、心肺等脏器功能损害。部分身患其他恶疾的患者,如高血压、糖尿病等,也会随着鼻息肉症状的严重而加重病情。
鼻息肉如何治疗
现代医疗J1S发达,患者可以根据自身实际情况选择治疗方法。部分患者息肉比较小,鼻塞症状也不是很严重,便可以进行ywzl,而手术lf的适用对象主要是息肉体积较大、数量较多、症状较严重或是使用其他lf效果不明显的患者。

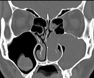
图:鼻息肉CT
鼻息肉的ywzl方法
鼻息肉的ywzl使用比较多的就是鼻内喷雾和口服激素。鼻内喷雾诸如布地奈德等可暂时缓解鼻息肉的症状,但并不推荐长期使用;而口服激素主要侧重于鼻息肉带来的嗅觉严重减退的患者,但是并不适合那些患有糖尿病、高血压、心脏病的人群使用。
怎么预防鼻息肉
鼻息肉的并发症和危害致使人们迫切需要进行预防和护理,包括预防策略和食疗方法,首先介绍预防方法:关注天气变化,注意添衣保暖,预防感冒;忌烟忌酒,避免粉尘、污染气体的长期刺激;积极治疗鼻部疾病,及咽部等其他器官的疾病;加强身体素质锻炼,提高自身免疫力和抵抗力。
治疗鼻息肉的简单偏方
上文介绍的饮食lf副作用小,没有痛苦,偏方lf也类似。同时,两者都需要在明确自身身体状况的前提下进行。下面就介绍一个偏方:

推荐阅读:鼻息肉的症状有哪些